About
라미네이트
시니어 라미네이트
임플란트
일반진료
커뮤니티
섬세한 기술과 따뜻한 마음으로, 오래도록 건강한 미소를 약속드립니다.
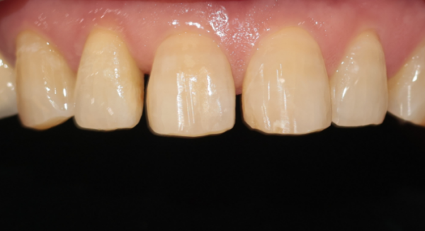
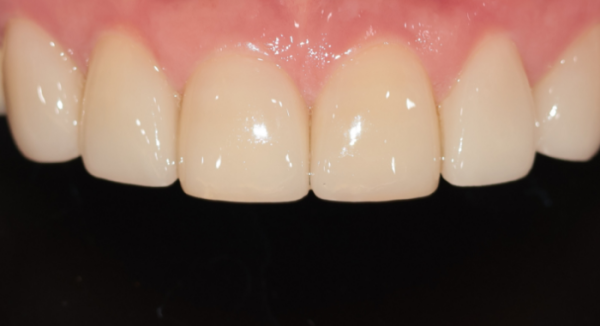
시니어라미네이트 전후사진
시니어 라미네이트 전후사진