섬세한 기술과 따뜻한 마음으로, 오래도록 건강한 미소를 약속드립니다.
시니어 라미네이트
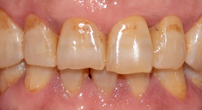
중년 이후의 라미네이트는 잇몸과 치아건강, 기존 보철물 유무등을 종합적으로 고려한
'맞춤형 시술'이 보다 필요합니다. 런던의 오후 치과는 단순한 미백이 아닌
치아 건강까지 생각한 스마일 디자인을 제공합니다.
자연치아를 최대한 아끼고 자연스러운 투명함과 색감으로
맞춤형 라미네이트를 완성합니다.
0.1mm 초박형 필름으로 오래토록 지속되는
아름다움을 선사합니다.




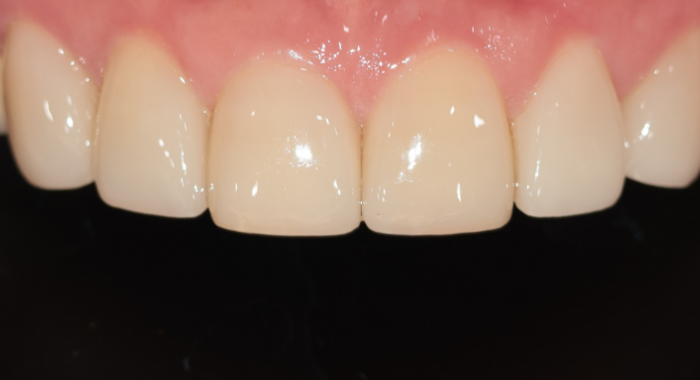
자연을 닮은 가장 얇은 필름
삭제 없이, 자연치아 위에
한 겹 덧입히는 초박형 필름
기존 라미네이트보다 2~3배 얇은 0.1mm 두께
자연치아의 색감과 질감을 그대로 살리는 투명한 필름
치아 표면을 최대한 보존하여 장기적인 치아 보호 가능
런던의 오후 라미네이트가 다른이유
중년의 치아 변화에 꼭 맞춘
맞춤 진료
다양한 연령층의 라미네이트 시술 경험을 바탕으로, 중년의 치아 변화에 꼭 맞춘 맞춤형 치료를 제안합니다. 연세대 치과대학 보철학 박사로, 심미 보철과 자연치 보존에 전문성을 갖춘 원장님이 직접 진료하며, 한국과 영국 치과의사 면허를 바탕으로 해외 최신 심미 치료까지 폭넓게 연구해왔습니다.

런던의오후가 제안하는 5가지 오후 시그니처
라미네이트가 선사하는 자연스러운 미소 변화
치아 색도, 배열도, 틈새도 각기 다른 고민이지만
라미네이트로 찾아오는 작은 변화가 당신의 미소를 더욱 빛나게 합니다.