섬세한 기술과 따뜻한 마음으로, 오래도록 건강한 미소를 약속드립니다.
무삭제라미네이트 : 오후필름
치아를 먼저 생각합니다. 불필요한 삭제 없이, 자연치아와 가장 닮은 디자인을 완성합니다.
0.1mm 초박형 필름으로 자연스러움은 살리고,
부담은 줄였습니다.
런던의오후는 골격과 표정, 웃는 습관까지 고려해 가장 자연스럽고 세련된 ‘당신다운 미소’를 완성합니다.




자연을 닮은 가장 얇은 필름
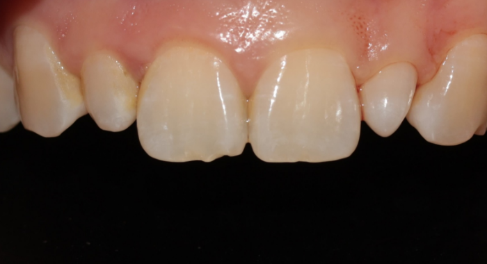
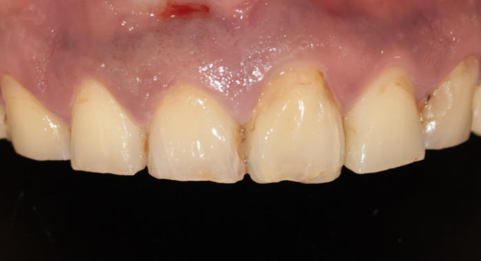
삭제 없이, 자연치아 위에,
한 겹 덧입히는 초박형 필름
기존 라미네이트보다 2~3배 얇은 0.1mm 두께
자연치아의 색감과 질감을 그대로 살리는 투명한 필름
치아 표면을 최대한 보존하여 장기적인 치아 보호 가능
런던의오후가 고른, 당신을 위한 컬러
하얗기만 한 치아는 이제 그만
AI 피부톤 분석으로 나만의 컬러를 찾아
진짜 나다운 미소를 완성합니다
AI Analysis
Harmony
Match
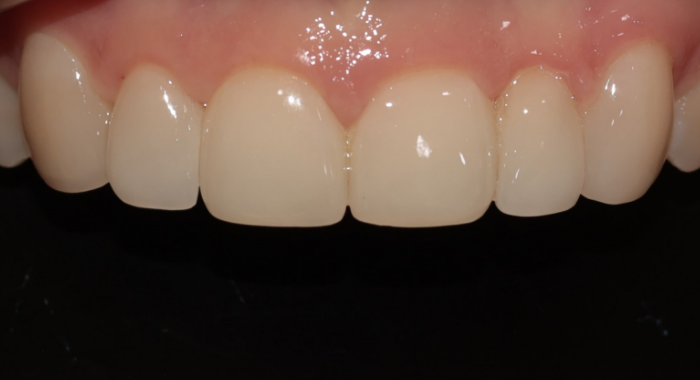
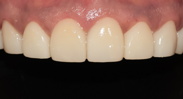
당신의 미소를 디자인합니다
미소는 얼굴의 중심이자 첫인상을 완성하는 요소입니다.
라미네이트는 단순한 보철이 아닌,
표정과 조화를 이루는 섬세한 디자인입니다.
치아의 형태와 곡선 하나하나가 얼굴 균형에 영향을 주기에, 우리는 단순히 하얗고 가지런한 것보다 ‘얼굴과 조화를 이루는 아름다움’을 추구합니다.
런던의 오후는 골격과 표정, 웃는 습관까지 고려해
가장 자연스럽고 세련된
‘당신다운 미소’를 완성합니다.



당신의 톤에 꼭 맞는 라미네이트, 런던의오후에서 찾아드립니다.

0.1mm 이하 무삭제
오후필름 Air

0.1~0.2mm 초박형
오후필름 Signature

0.2mm 이상 일반형
오후필름 Glow
런던의오후가 제안하는 5가지 오후 시그니처
오후필름이 선사하는 자연스러운 미소 변화
치아 색도, 배열도, 틈새도 각기 다른 고민이지만
라미네이트로 찾아오는 작은 변화가 당신의 미소를 더욱 빛나게 합니다