전후사진 페이지
예약하기
About
병원소개
의료진 소개
라미네이트
시니어 라미네이트
임플란트
일반진료
덴탈스파
치아미백
충치치료
사랑니발치
소아진료
커뮤니티
이벤트
공지사항
온라인상담
전후사진
전후사진
Ohoo London
Dental Clinic
섬세한 기술과 따뜻한 마음으로, 오래도록 건강한 미소를 약속드립니다.
전후사진 카테고리
전체
열린 분류
라미네이트
시니어 라미네이트
임플란트
덴탈스파
6
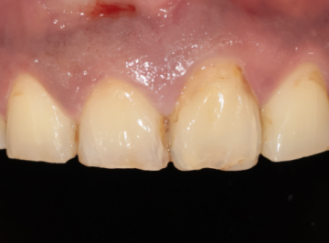
BEFORE
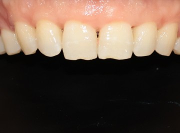
AFTER
라미네이트
치아엇갈림 케이스
5
BEFORE
AFTER
라미네이트
치열부정(삐뚤빼뚤한 치아) 케이스
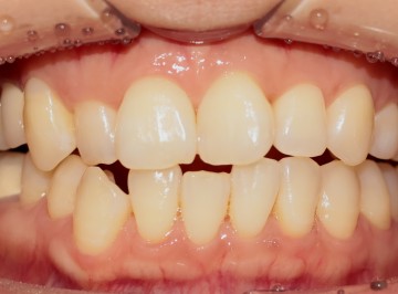
4
BEFORE
AFTER
라미네이트
치아벌어짐 케이스
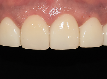
3
BEFORE
AFTER
라미네이트
라미네이트 전후사진
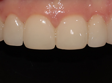
2
BEFORE
AFTER
라미네이트
라미네이트 전후사진
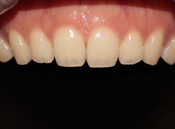
1
BEFORE
AFTER
라미네이트
라미네이트 전후사진
카톡상담
네이버예약
블로그
인스타그램
오시는 길